Բարի գալուստ Ուռուցքաբանության ազգային կենտրոն
Շուրջ ութ տասնամյակ առաջ որոշում ընդունվեց Հայաստանում զարգացնելու ուռուցքաբանությունը և ստեղծելու քաղցկեղի ուսումնասիրման ու բուժման գիտահետազոտական կառույց: Այդ տարիների ընթացքում՝ կայացման ճանապարհին, անխուսափելի մարտահրավերներին դիմակայելով, կառուցվել է մեր կենտրոնը՝ գիտակցելով մեր երկրում ապրող քաղաքացու առողջության ու կյանքի բարձր որակի ապահովման կարևորությունը: Ուռուցքաբանության զարգացումը մեծագույն երազանք էր, որի իրականացումը պրոֆեսիոնալ բժիշկների համառ պայքարի ու գաղափարական նվիրումի արդյունք է:
Իսկ այսօր արդեն մենք ենք շարունակում այդ նվիրական աշխատանքը` վստահ լինելով, որ հասնելու ենք այնպիսի փուլի, երբ քաղցկեղ ունեցող քաղաքացու բուժումը ամբողջությամբ իրականացվելու է մեր երկրում: Դրան հասնելու ենք, մասնավորապես, նոր սարք-սարքավորումների ձեռքբերումով, բժիշկների վերապատրաստումներով, տարբեր աշխարահռչակ մասնագիտացված կենտրոնների հետ համագործակցումներով: Բայց, որ ամենից առաջնայինն է, մեր բնակչության մեջ պետք է արմատացնել պարբերաբար ստուգումների, հիվանդությունների վաղ կանխարգելումների կարևորությունը, և այս ճանապարհին կաևոր է յուրաքանչյուրիս անհատական ներդրումն ու նվիրումը:
Ուռուցքաբանության ազգային կենտրոնը անում է ամեն ինչ՝ ձեր առողջության և երկարակեցության համար:
Կարեն Ծառուկյան
տնօրեն
Կլինիկա
Օնկոուրոլոգիական բաժանմունք
Օնկոգինեկոլոգիական բաժանմունք
Սերգեյ Սեինյանի անվան հենաշարժիչ համակարգի ուռուցքաբանության բաժանմունք
Պալիատիվ ծառայության կլինիկա
Որովայնային և էնդովիրաբուժության բաժանմունք
Ներխոռոչային և ներհյուսվածքային ճառագայթային թերապիայի բաժանմունք
Նեյրոօնկոլոգիական բաժանմունք
Մամոլոգիական բաժանմունք
Հեռահար ճառագայթային թերապիայի բաժանմունք
Կանանց առողջության կլինիկա
Անզգայացման և վերակենդանացման բաժանմունք
Դեղորայքային ուռուցքաբանության բաժանմունք
Ընդհանուր ու մանկական ուռուցքաբանության և ռեկոնստրուկտիվ վիրաբուժության բաժանմունք
Կրծքավանդակային վիրաբուժության և ինտերվենցիոն թոքաբանության բաժանմունք
Անոթային վիրաբուժության բաժանմունք
Հոգեսոցիալական ծառայություն
03-04-2026
Ուռուցքաբանության ազգային կենտրոնը՝ զարգացման նոր փուլում. Կարեն Ծառուկյանի հարցազրույցը «Արմենպրես»-ին
24-03-2026
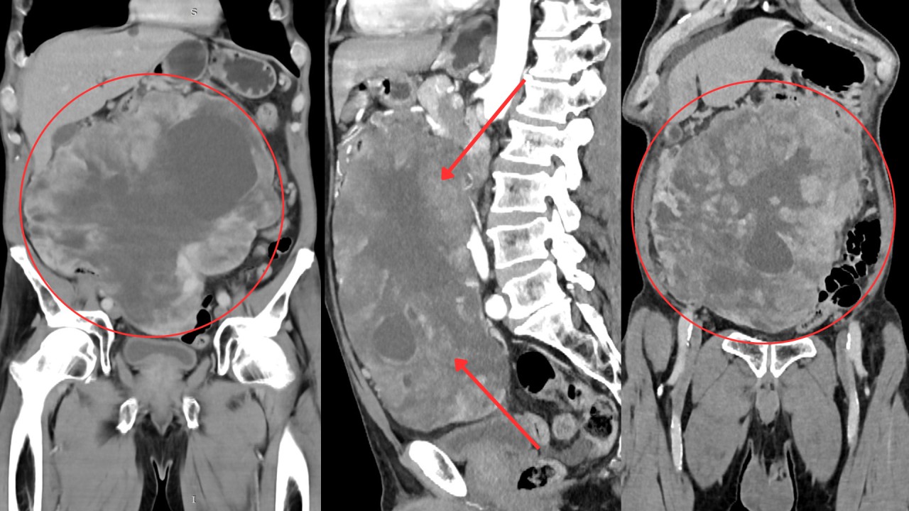
Կլինիկական բացառիկ դեպք. որովայնի խոռոչի հսկա մետաստատիկ ուռուցքը ամբողջությամբ հեռացվել է
18-03-2026
Երբ վիրահատությունը հնարավոր չէ․ բրախիթերապիան որպես արդյունավետ լուծում
Ազդարարման հարցերով պատասխանատու՝ Գոռ Թանայան
ՈՒԱԿ անձնակազմի հաշվառան և գրանցման մասնագետ
Հեռախոսահամարներ՝ 010 205050 - 134
Էլեկտրոնային հասցե՝ gtankyan@bk.ru
Հարգելի՛ այցելուներ,
որակի բարելավման նպատակով խնդրում ենք ձեր առաջարկներն ու դիտարկումներն ուղարկել ՈՒԱԿ տնօրեն Կարեն Ծառուկյանին՝ fanarjiansdirector@gmail.com հասցեով։
Ձեր վստահությունը մեր լավագույն գնահատականն է



